Kolejna replantacja „poza dyżurem” w 5 Wojskowym Szpitalu Klinicznym | 5 Wojskowy Szpital Kliniczny z Polikliniką SPZOZ

Kolejna replantacja „poza dyżurem” w 5 Wojskowym Szpitalu Klinicznym

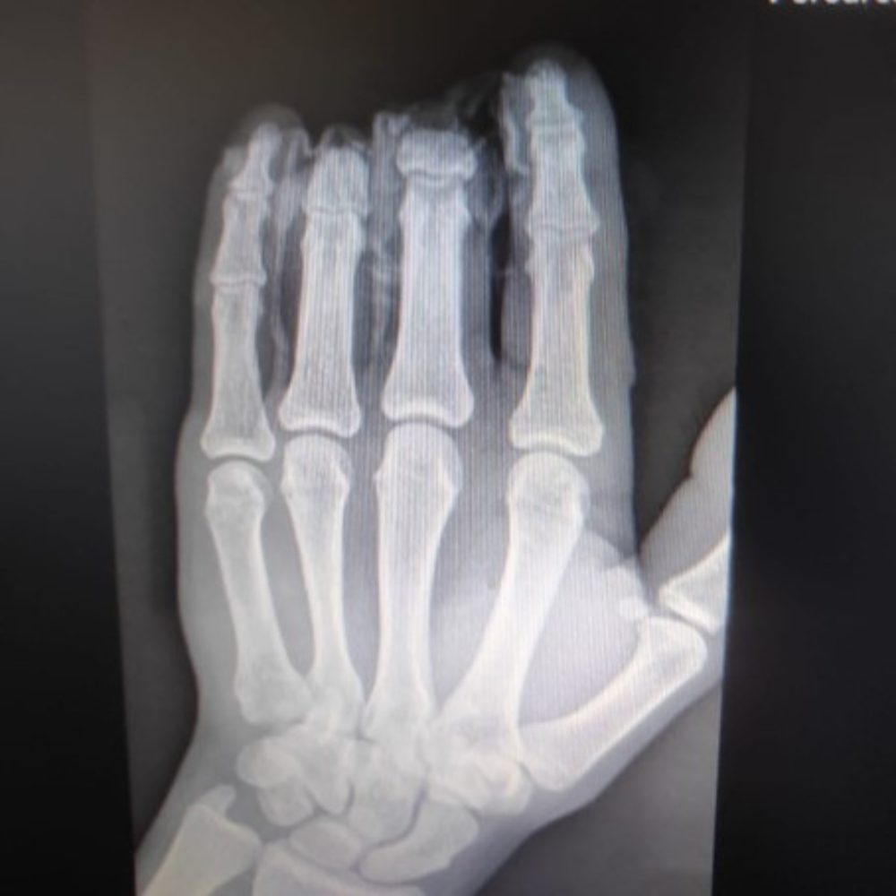
9 marca 2024 roku w 5 Wojskowym Szpitalu Klinicznym, wykonano zabieg replantacji dwóch palców u 22-letniego pacjenta z Łomży. Dla Zespołu szpitala to już niemal rutyna, ponieważ od dwóch lat 4 razy w miesiącu pełni dyżury w nieformalnym „serwisie replantacyjnym”.

Sytuacja była jednak o tyle wyjątkowa, że w tym dniu szpital nie miał dyżuru replantacyjnego, nie było więc dedykowanego zespołu do tego typu operacji. Zespół szpitala we Wrocławiu, który miał w tym dniu dyżur, już operował amputowany kciuk i nie był w stanie zająć się kolejnym pacjentem. Lekarze oddziału ratunkowego i oddziału ortopedii ze Szpitala w Łomży dzwonili po wszystkich ośrodkach replantacyjnych w Polsce, których jest aktualnie 11, jednak żaden ze szpitali nie był w stanie zorganizować w tym dniu zespołu replantacyjnego. Tym razem udało się to w tut. Szpitalu.
Lekarze operujący i lekarz anestezjolog przyjechali z domu, rezygnując ze swojego wolnego czasu, po to aby pomóc 22-latkowi. Uraz palców był wyjątkowo ciężki, ponieważ doszło do zmiażdżenia brzegów rany i rozległego uszkodzenia naczyń, a organizowanie zespołu zawsze trwa i zabiera ceny czas. Operacja  rozpoczęła się o północy i trwała około 8 godzin. Wymagała przeszczepów żył i skomplikowanych procedur jak płaty żylno-żylne, które wyjątkowo rzadko są potrzebne w takich sytuacjach.
Pacjent zniósł długi zabieg dobrze i wraca do zdrowia. Niestety w takich sytuacjach prawidłowo wykonana operacja nie oznacza pełnego sukcesu. Musi minąć kilka dni aby mieć pewność, że zespolenia naczyniowe będą działać. Potem pacjenta czeka rehabilitacja aby odzyskać jak najlepszą sprawność kończyny.
Zespół zaangażowany w operację i leczenie chorego to:

  • lekarze ortopedzi - Paweł Maleta, Łukasz Wawrzyniak, Tomasz Miśkiewicz, Mateusz Kulbat,
  • lekarz anestezjolog - Kamil Cholewa, 
  • pielęgniarki anestezjologiczne - Katarzyna Salamon, Adrianna Panek,
  • pielęgniarki bloku operacyjnego - Klaudia Tarsa, Małgorzata Komenda, Ilona Herian-Odrobińska, Małgorzata Mąka,
  • pielęgniarki Kliniki Ortopedii - Aleksandra Krukowska, Renata Pietrzyk, Aleksanda Rudyk, Aneta Stachnik.

W 2023 roku, Zespół 5 Wojskowego Szpitala Klinicznego z Polikliniką SPZOZ w Krakowie, wykonał sześć takich „pozadyżurowych” replantacji. Zawsze było to związane z dodatkowym obciążeniem pracą personelu szpitala mającego dyżur oraz poświęceniem wolnego czasu przez zespół chirurgów i anestezjologów. Dzięki ofiarności personelu za każdym razem operacje oraz całe leczenie kończyło się dobrze, a chorzy odzyskiwali amputowne części ciała i wracali do sprawności. Mamy nadzieję, że tym razem będzie podobnie.  

Wszystkim zaangażowanym w leczenie chorego dziękujemy, a pacjentowi życzmy powrotu do zdrowia!  
 

Ostatnia aktualizacja
Data opublikowania